April Anderson+FollowAlzheimer’s test just got way easierImagine catching Alzheimer’s way before symptoms even show—just with a finger-prick blood test! No more scary brain scans or spinal taps. This new test looks for three key proteins linked to Alzheimer’s and could totally change how early we catch it. If the trial goes well, we might see this test in clinics by 2028. Early diagnosis = more time for new treatments and better care. Total game-changer for brain health! #Health #BodyHealth #AlzheimersAwareness30Share
Ryan Lewis+FollowAlzheimer's Test: Just a Finger-Prick?!Imagine finding out your Alzheimer’s risk with a simple finger-prick blood test instead of a brain scan or spinal tap. That’s what a new international trial is testing out with 1,000 volunteers over 60. If it works, it could totally change how we diagnose Alzheimer’s—making it faster, cheaper, and way less scary. Early results are promising, but we’ll have to wait for the full study to finish in 2028. Would you take the test? #Health #BodyHealth #AlzheimersAwareness20Share
Joseph Bradley+FollowWait, Gum Disease Can Mess With Your Brain?!Turns out, skipping floss isn’t just bad for your smile—it could be linked to Alzheimer’s! New research says gum disease might let nasty bacteria sneak into your brain, possibly fueling memory loss. And brushing alone won’t cut it; those bacteria love hiding where your toothbrush can’t reach. Dental health = brain health, so maybe it’s time to actually use that floss you bought last year. Anyone else suddenly booking a dentist appointment? #Health #BodyHealth #AlzheimersAwareness20Share
Joseph Bradley+FollowAlzheimer's at 19?! This Case Is WildA 19-year-old in China was diagnosed with Alzheimer’s—making him the youngest ever. He started forgetting things at 17, but here’s the kicker: doctors couldn’t find any of the usual genetic mutations linked to early-onset Alzheimer’s. No family history, no head trauma, nothing. This case is totally rewriting what we thought we knew about the disease. Scientists are now saying we need to dig way deeper into how Alzheimer’s can strike so young. Mind blown! #Health #BodyHealth #AlzheimersAwareness21Share
Kristi Key+FollowAlzheimer’s Blood Test Could Change EverythingDid you know a simple blood test might soon spot Alzheimer’s way earlier than we thought? A massive new study found over 1 in 10 people over 70 could benefit from new treatments that slow the disease—if only we catch it early enough. The catch? These tests and drugs aren’t on the NHS yet, but trials are happening. Imagine how many lives could change if this goes mainstream! #Health #BodyHealth #AlzheimersAwareness10Share
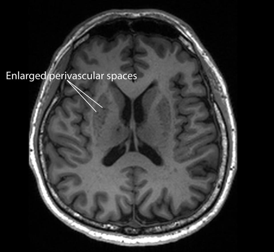
wilsonjames+FollowYour MRI Might Reveal Early Alzheimer’s CluesWild new research says your routine MRI scan could be hiding the earliest signs of Alzheimer’s—way before memory loss kicks in. Scientists found that tiny “clogged drains” in the brain, called enlarged perivascular spaces, show up on regular scans and are linked to Alzheimer’s risk. If doctors start looking for these, we might catch the disease way sooner and slow it down. Imagine finding out years in advance, just from a scan you’d get anyway! #Health #BodyHealth #AlzheimersAwareness10Share
Michelle Welch+FollowAlzheimer's Blood Test: Game Changer?Imagine being able to spot Alzheimer’s before any symptoms show up—all from a simple blood test. Scientists say the new p-tau217 test could flag early signs of dementia, giving people a head start on planning and treatment. While there’s no cure yet, catching it early could mean slowing things down with meds and lifestyle tweaks. Would you want to know years in advance? This feels huge for anyone with Alzheimer’s in the family. #Health #BodyHealth #AlzheimersAwareness20Share
Charles Christensen+FollowBlood Test Could Predict Dementia EarlyImagine finding out if you’re at risk for Alzheimer’s before any symptoms even show up—all from a simple blood test. Scientists say a new test looking for the p-tau217 protein could spot dementia years in advance, giving people a head start on treatment and planning. While it’s not a cure, early detection could mean more time to slow things down with meds and lifestyle tweaks. Would you want to know this info ahead of time? #Health #BodyHealth #AlzheimersAwareness21Share
john24+FollowAlzheimer’s Breakthroughs You Gotta SeeTwo new studies are giving real hope to families dealing with Alzheimer’s. Researchers found that a special lithium compound might help restore memory, and another team used nanoparticles to clear out those nasty brain clumps in mice. Both approaches actually brought memory back in the lab! It’s early days and still just in mice, but wow—these could be game-changers for millions. Fingers crossed human trials are next! #Health #BodyHealth #AlzheimersAwareness271Share